Επιλέξτε από το μενού στα δεξιά
image
image

Μαιευτήρας-Γυναικολόγος

Γεωργακίλα Σταυρούλα

image
image

Ο Προγεννητικός έλεγχος χρωμοσωμικών ανωμαλιών πρώτου τριμήνου αφορά σε μία συνδυασμένη εξέταση υπερηχογραφικών και βιοχημικών μετρήσεων με σκοπό να αναγνωρίσει τις υψηλού κινδύνου εγκυμοσύνες για χρωμοσωμικές ανωμαλίες και μία σειρά επιπλοκών της κύησης.

Σύντομη

Ιστορική Αναδρομή

Η προσπάθεια αναγνώρισης των εμβρύων με χρωμοσωμικές ανωμαλίες ξεκίνησε πριν από 40 περίπου χρόνια. Αρχικά βασίστηκε στην ηλικία της μητέρας, πραγματοποιώντας επεμβατικό διαγνωστικό έλεγχο με αμνιοπαρακέντηση σε εγκύους άνω των 35 ετών, βρίσκοντας μόνο το 30% των εμβρύων με σύνδρομο Down. Στο τέλος της δεκαετίας του 1980 προστέθηκε ο έλεγχος βιοχημικών δεικτών ενώ τη δεκαετία του 1990 ξεκίνησε η μέτρηση της αυχενικής διαφάνειας του εμβρύου από τον καθηγητή Κ. Νικολαϊδη. Με την πάροδο των ετών και πολλαπλών ερευνών, σήμερα έχουμε τη δυνατότητα να πραγματοποιούμε τον προγεννητκό έλεγχο χρωμοσωμικών ανωμαλιών από την 11η έως 14η εβδομάδα της κύησης με ποσοστό ανίχνευσης του συνδρόμου Down (Τρισωμία 21) περίπου στο 95%. Αναλυτικότερα, ο έλεγχος του εμβρύου συνίσταται στη μέτρηση της αυχενικής διαφάνειας, την ύπαρξη του ρινικού οστού, την καρδιακή συχνότητα και τη ροή αίματος στο φλεβώδη πόρο και την τριγλώχινα βαλβίδα. Επίσης ελέγχεται η ροή αίματος στις μητριαίες αρτηρίες της μητέρας. Οι υπερηχογραφικές μετρήσεις συνδυάζονται με τις βιοχημικές οι οποίες είναι μέτρηση της πρωτείνης Α (PAPP-A) και ελεύθερης β χοριακής γοναδοτροπίνης (fβ-hCG) στον ορό αίματος της μητέρας.

Τι είναι

Η αυχενική διαφάνεια;

Η αυχενική διαφάνεια (ΑΔ) είναι η υπερηχογραφική εμφάνιση της υποδόριας ποσότητας υγρού πίσω από τον αυχένα του εμβρύου στο πρώτο τρίμηνο της κύησης. Αυξάνεται ανάλογα με το μέγεθος του εμβρύου. Στο 75-80% των εμβρύων με τρισωμία 21 το πάχος της ΑΔ είναι πάνω από την 95η εκατοστιαία θέση για το αντίστοιχο κεφαλοουραίο μήκος του εμβρύου. Το ρινικό οστούν υπάρχει όταν είναι πιο ηχογενές από το υπερκείμενο δέρμα και απουσιάζει αν δε διακρίνεται ή έχει την ίδια ή μικρότερη ηχογένεια από το δέρμα. Το ρινικό οστούν απουσιάζει σε έμβρυα με φυσιολογικό καρυότυπο (ευπλοϊδία) περίπου στο 1-3% ενώ σε έμβρυα με τρισωμία 21 απουσιάζει στο 60%, με τρισωμία 18 στο 50% και τρισωμία 13 στο 40%.

Πόσο γρήγορα χτυπάει η καρδιά του εμβρύου;

Στη φυσιολογική κύηση, ο εμβρυϊκός καρδιακός ρυθμός κυμαίνεται από 145-175 παλμούς/λεπτό από την 11η έως την 14η εβδομάδα. Στην τρισωμία 21 ο εμβρυϊκός καρδιακός ρυθμός εμφανίζει ήπια αύξηση, στην τρισωμία 18 παρατηρείται ήπια μείωση και στην τρισωμία 13 ο εμβρυϊκός καρδιακός ρυθμός είναι σημαντικά αυξημένος.

image
image

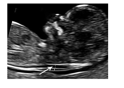
Ο φλεβώδης πόρος

και ποια η σημασία του

Ο φλεβώδης πόρος είναι ένα μικρό αγγείο που συνδέει την ομφαλική φλέβα με την κάτω κοίλη φλέβα και μεταφέρει αίμα πλούσιο σε οξυγόνο στον εγκέφαλο του εμβρύου. Συνήθως κλείνει λίγα λεπτά μετά την γέννηση. Η εκτίμηση της αιματικής ροής στο φλεβώδη πόρο βασίζεται στην εμφάνιση του κύματος α, αν είναι δηλαδή θετικό (φυσιολογικό) ή ανάστροφο (παθολογικό). Η αναστροφή του κύματος α σχετίζεται με αυξημένο κίνδυνο για χρωμοσωμικές και καρδιακές ανωμαλίες. Αναστροφή κύματος α σε κυήσεις 11-14 εβδομάδων εμφανίζεται σε έμβρυα με ευπλοειδία στο 3% ενώ σε έμβρυα με χρωμοσωμικές ανωμαλίες στο 55-65%.

Γιατί εξετάζουμε τη ροή αίματος στην τριγλώχινα βαλβίδα;

Η τριγλώχινα βαλβίδα συνδέει το δεξιό κόλπο με τη δεξιά κοιλία της καρδιάς του εμβρύου. Εξετάζουμε τη ροή αίματος στη βαλβίδα αυτή γιατί μας ενδιαφέρει να ελέγξουμε αν υπάρχει παλινδρόμηση κατά τη διάρκεια της συστολής. Σε απουσία παλινδρόμησης το εύρημα είναι φυσιολογικό ενώ σε παλινδρόμηση κατά την διάρκεια περίπου της μισής συστολής είναι παθολογικό. Παλινδρόμηση της τριγλώχινος σε κύηση 11-14 εβδομάδων παρατηρείται σε έμβρυα με ευπλοειδία περίπου στο 1% ενώ αυξάνεται σε έμβρυα με σύνδρομο Down στο 55% και με τρισωμία 18 και τρισωμία 13 στο 30%. Όταν υπάρχει παλινδρόμηση της τριγλώχινας συνιστάται η εξέταση της καρδιάς του εμβρύου για σοβαρές καρδιακές ανωμαλίες καθώς αυξάνονται οι πιθανότητες για αυτές.

Ας περάσουμε όμως στους βιοχημικούς δείκτες.

Οι κυήσεις με τρισωμία σχετίζονται με μεταβολή των συγκεντρώσεων στον ορό της μητέρας ποικίλων ορμονικών εμβρυοπλακουντιακών παραγώγων. Στις κυήσεις με τρισωμία 21 η ελεύθερη ß-hCG είναι περίπου διπλάσια ενώ η PAPP-A υποδιπλασιάζεται σε σχέση με τις κυήσεις χωρίς χρωμοσωμικές ανωμαλίες. Πέρα όμως από τον έλεγχο για τις χρωμοσωμικές ανωμαλίες, η εξέταση του πρώτου τριμήνου μας παρέχει κι άλλες πληροφορίες. Μπορούμε να καθορίσουμε την ακριβή ηλικία κύησης με τη μέτρηση του κεφαλοουριαίου μήκους του εμβρύου καθώς και τη χοριονικότητα μιας πολύδυμης κύησης που θα παίξει σημαντικό ρόλο στη μετέπειτα παρακολούθηση της εγκυμοσύνης. Κατά την τελευταία δεκαετία η εξέλιξη των συσκευών υπερηχογραφίας κατέστησε δυνατή την αναγνώριση της φυσιολογικής ανατομίας του εμβρύου και τη διάγνωση ή υποψία ύπαρξης μερικών από τις σοβαρές ανωμαλίες του εμβρύου στις 11-14 εβδομάδες. Μας δίνεται επομένως η δυνατότητα να εξετάσουμε το κρανίο και εγκέφαλο έτσι ώστε να αναδεικνύονται ο εγκέφαλος και τα χοριοειδή πλέγματα που πληρούν τις μεγάλες πλάγιες κοιλίες. Στο πρόσωπο εξετάζεται το προφίλ και οι οφθαλμικοί κόγχοι και στη σπονδυλική στήλη τα σώματα των σπονδύλων και το υπερκείμενο δέρμα. Στην καρδιά και το θώρακα γίνεται εξέταση των τεσσάρων κοιλοτήτων της καρδιάς και του διαφράγματος ενώ στην κοιλιά επίδειξη του στομάχου, ουροδόχου κύστης και της φυσιολογικής εισόδου του ομφάλιου λώρου στην κοιλιακή χώρα. Στα άκρα απεικονίζονται τα μακρά οστά των χειρών και ποδών.

Υπερηχογράφημα

των 11-13 εβδομάδων

Η λεπτομερής αυτή εξέταση στο υπερηχογράφημα των 11-13 εβδομάδων αναδεικνύει ένα μεγάλο αριθμό σοβαρών ανωμαλιών του εμβρύου χωρίς βέβαια να μπορεί να αντικαταστήσει το αναλυτικό υπερηχογράφημα ελέγχου ανατομίας του εμβρύου στις 20-24 εβδομάδες. Ενδεικτικά αναφέρουμε μερικές από αυτές:

· Ακρανία / ανεγκεφαλία
· Ολοπροσεγκεφαλία
· Καρδιακές ανωμαλίες
· Διαφραγματοκήλη
· Εξόμφαλος
· Γαστρόσχιση
· Μεγακύστη

Τέλος, μετρώντας τη ροή αίματος στις μητριαίες αρτηρίες της μητέρας μας δίνεται η δυνατότητα για έγκαιρη αναγνώριση των ομάδων υψηλού κινδύνου για εκδήλωση προεκλαμψίας. Η προεκλαμψία εμφανίζεται περίπου στο 2% των κυήσεων και αποτελεί αιτία περιγεννητικής και μητρικής νοσηρότητας και θνητότητας.

Συμπερασματικά, ο προγεννητικός έλεγχος χρωμοσωμικών ανωμαλιών πρώτου τριμήνου αποτελεί μια αναγκαία εξέταση της κύησης αφού μας παρέχει σημαντικές πληροφορίες. Από το συνδυασμό της ηλικίας της μητέρας, των υπερηχογραφικών ευρημάτων και της ελεύθερης ß-hCG και PAPP-A ορού προκύπτει ο εξατομικευμένος κίνδυνος για χρωμοσωμικές ανωμαλίες από τον οποίο θα εξαρτηθεί η απόφαση των γονέων για εξέταση ή όχι του καρυοτύπου του εμβρύου. Επιπλέον στον έλεγχο αυτό μπορεί να γίνει η διάγνωση σοβαρών ανωμαλιών του εμβρύου. Ας μην ξεχνάμε βέβαια το ευχάριστο μέρος της εξέτασης. Είναι η πρώτη επαφή των γονιών με το μωρό τους.

image